Composite Bonding South Kensington
Transform chipped, gapped or discoloured teeth in a single visit. Our cosmetic dentists in South Kensington deliver natural-looking results with composite bonding from just £197.50 per tooth (members). Little or no drilling. No injections. Walk out smiling.
Full smile from from £1,185
✨ Same-Day Smile — Usually Little or No Tooth Preparation Required
Composite Bonding Cost
Per tooth
Member price (50% off standard rate)
- A complimentary consultation is included to discuss suitability. This is not a full clinical examination.
- Many cases can be completed in a single appointment depending on clinical suitability
- Little or no drilling
- Premium composite materials
- Natural-looking results
- 5-10 year durability
No obligation. Discuss your options with our experts.
Full Smile Makeover
6 teeth transformed
Real Composite Bonding Results
Drag the slider to reveal the transformation
What is Composite Bonding?
Composite bonding is a cosmetic dental treatment where tooth-coloured resin is applied and sculpted onto your teeth to improve their appearance. It's one of the most popular and affordable ways to enhance your smile in London.
Unlike porcelain veneers, composite bonding is completed in a single appointment with little or no drilling and no long-term alteration to your natural teeth. The composite material bonds directly to your tooth surface, which is why the procedure is called "bonding."
Our London dentists use premium composite resins that are carefully shade-matched to your natural teeth. The material is applied in thin layers, hand-sculpted to the perfect shape, then hardened with a special UV light. The result is a natural-looking enhancement that can last 5-10 years with proper care.
Who is Composite Bonding For?
Composite bonding is ideal for patients who want to improve their smile without the cost and commitment of porcelain veneers. It's perfect for addressing minor to moderate cosmetic concerns quickly and affordably.
Composite bonding treats:
- Chipped or cracked front teeth
- Gaps between teeth (diastema)
- Misshapen or uneven teeth
- Discoloured teeth that won't whiten
- Short or worn-down teeth
- Minor alignment issues
Same-Day Results
Many cases can be completed in a single appointment depending on clinical suitability
Usually Little or No Tooth Preparation Required
Minimally invasive treatment that preserves your natural tooth
Natural Appearance
Hand-sculpted and colour-matched to look indistinguishable from natural teeth
Minimally Invasive
Composite bonding is generally considered minimally invasive and may be reversible in some cases. Your dentist will advise based on your individual teeth.
Affordable Pricing
Achieve a beautiful smile at a fraction of veneer costs
Comfortable Treatment
No anaesthetic needed in most cases
Composite Bonding Treatment Process
From consultation to walking out with your new smile, all in a single visit (typically 30-60 minutes per tooth).
Complimentary Short Consultation
We discuss your goals, assess your teeth, and explain composite bonding costs upfront with no hidden fees
Shade Matching
We select the perfect composite shade to match your natural teeth seamlessly
Sculpting
Composite resin is applied in layers and expertly hand-sculpted to your desired shape
Curing & Polishing
UV light hardens the composite, then we polish for a smooth, natural finish
Composite Bonding vs Porcelain Veneers
Wondering which treatment is right for you? Compare the costs, benefits, and suitability.
Not sure which is right for you?
Why Choose Our London Clinic for Composite Bonding?
We've helped many patients across London achieve their dream smiles with composite bonding.
Experienced Cosmetic Dentists
Our dentists have helped many patients transform their smiles with composite bonding across South Kensington
Transparent Pricing
Know exactly what composite bonding costs before treatment. No hidden fees, ever
Premium Materials
We use only high-quality composite resins for durability and natural aesthetics
Central London Location
Easy access from South Kensington tube. Just 2 minutes walk
0% Finance Available
Spread your composite bonding cost over 12 months interest-free
50% Member Discount
Join for £20/month and pay from £197.50 per tooth instead of £395
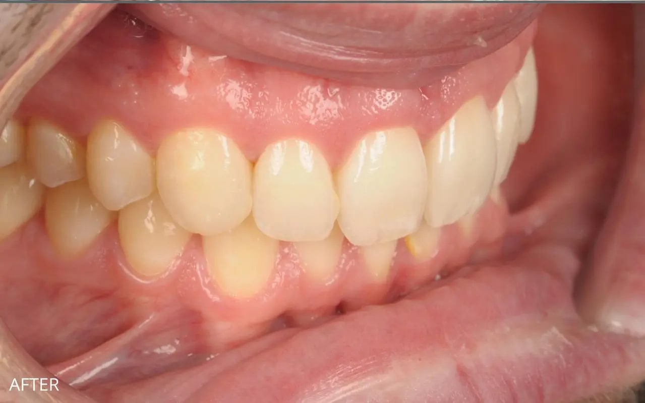
Composite Bonding Before & After
See real composite bonding transformations performed by our expert dentists






Composite Bonding
by Dr Yasha Shirazi





Braces, Bonding & Whitening
by Dr Kamran YazdiComplete smile makeover with invisible braces, composite bonding and teeth whitening
More Smile Transformations
Before (top) and after (bottom) results by Dr Andreia Phipps

Composite Bonding
by Andreia Phipps

Composite Bonding
by Andreia Phipps

Composite Bonding
by Andreia Phipps

Composite Bonding
by Andreia Phipps

Composite Bonding
by Andreia Phipps

Composite Bonding
by Andreia Phipps

Composite Bonding
by Andreia Phipps

Composite Bonding
by Andreia Phipps
Spread the Cost with 0% Finance
Don't let composite bonding cost hold you back from your dream smile. We offer flexible payment options.
Pay Monthly
0% finance for up to 12 months
Extended Finance
Spread over up to 60 months
50% Member Discount
£20/month membership
Composite Bonding FAQs
Common questions about composite bonding cost, treatment, and aftercare
Visit Our London Clinic
Conveniently located in South Kensington with excellent transport links
Address
South Kensington Medical & Dental
20 Old Brompton Road
South Kensington
London SW7 3DL
Getting Here
- 2-minute walk from South Kensington tube
- Circle, District & Piccadilly lines
- Nearby parking available
Opening Hours
- Monday, Wednesday9am - 6pm
- Tuesday, Thursday9am - 8pm
- Friday8am - 5pm
- Saturday10am - 4pm
- Sunday10am - 4pm
Contact
Ready for Your Composite Bonding Consultation?
Book a complimentary short consultation to discuss your smile goals. We'll explain composite bonding costs clearly, show you what's possible, and create a personalised treatment plan.
You Might Also Be Interested In
What Our Patients Say
Real feedback from our patients at South Kensington Medical & Dental.
Meet Our Dental Team
Our experienced dental team is fully qualified and registered with the GDC, delivering safe, high-quality care in line with the highest professional standards.
Because our patients deserve nothing less.
Registered. Regulated. Trusted.
South Kensington Medical & Dental is registered with the Care Quality Commission (CQC) and our clinicians are registered with the relevant UK regulatory bodies, including the GDC and GMC. Our dentists, dental nurses and medical professionals deliver care that meets the highest clinical, safety and ethical standards, because our patients deserve nothing less.










